Dodaj med priljubljene | Kontaktirajte nas
 


Nejc Hudolin
Darko Hudolin
Cesta talcev 40
4220 Škofja Loka
Tel.:
04/51-20-150
040-899-525 - Nejc
041-735-916 - Darko
E-mail:
nejchudolin@gmail.com
darko.hudolin@gmail.com





Elab

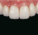
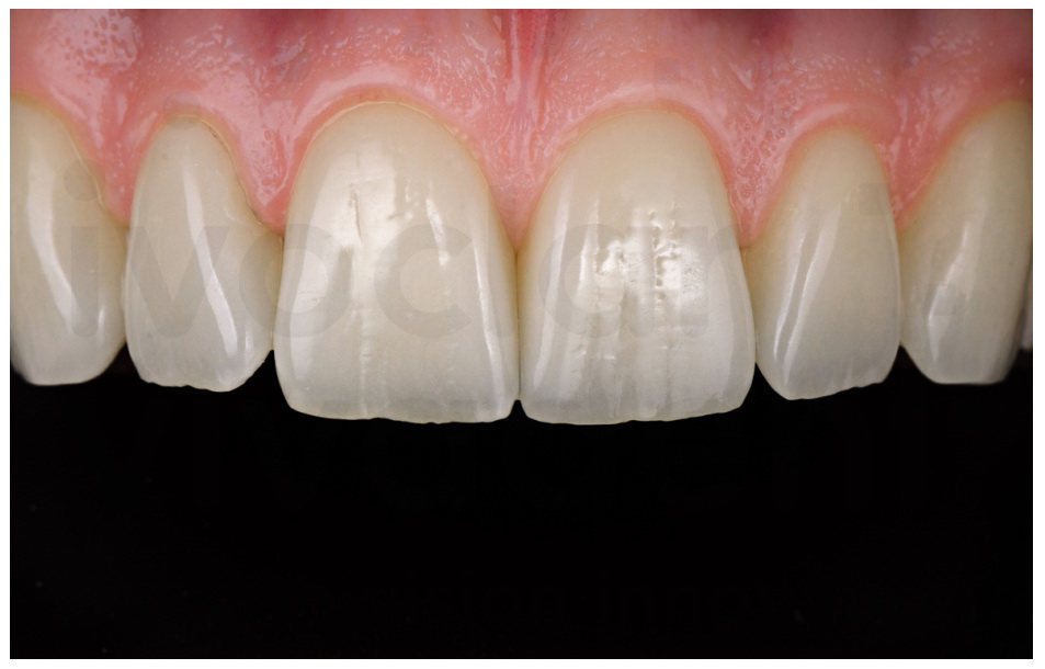
Elabor protokol predstavlja revolucijo v določanju barv zob, saj barvni ključi niso več potrebni in so stvar zgodovine.Vsi dobro vemo kako mučno je lahko izbiranje barve, nakoncu pa še ugotovimo, da nas je oko prevaralo in smo izbrali napačen odtenek.Problem je predvsem v tem, da je individualnost naravnih zob nemogoče stlačiti v 16 oziroma 26 barvnih odtenkov. Lahko imamo srečo in najdemo prbližno ustreznega kandidata v barvnem ključu, vendar pa je po statističnih podatkih verjetnost zadovoljivega izbora, ki po L*a*b* barvnem sistemu (skoraj) ustreza naravnemu zobu le nekaj odstotkov.

Obstajajo sicer povprečene vrednosti, ki za Evropejce v L*a*b* sistemu znašajo L(svetlost)=75, a(rde?a)=5-6 in b(rumena)=15. Umeten barvni odtenek, ki ga poznamo pod imenom A3 znaša L=69,a=5,b=20, kar je precej blizu prej omenjenemu povpre?ju in prav zato je v zobozdravstvu A3 tako popularen barvni izbor.Ima pa A3 to pomankljivost, da ima v primerjavi z naravnim zobom premalo svetlosti.

V osnovi gre pri protokolu za polarizacijsko fotografijo (da iliminirano odseve na zobeh), digitalno merjenje barv v L*a*b* sistemu in individualno mešanje kerami?nih mas. Celoten protokol je na naslednji povezavi lepo orisan s filmčki od 1-5.



Vse kar potrebujemo je ena fotografija z referenčno sivo kartico. Največja prednost tega sistema je v tem, da lahko vseskozi preverjamo svoj izdelek z računalniškimi try-ini "v ustih" in računalniške številke ne varajo... Za vse dodatne informacije smo na voljo osebno,preko telefona ali elektronske pošte.

Računalniška izdelava kovinskih ogrodij za kovinsko-porcelansko tehniko

Uporaba sodobnih tehnologij je postala nepogrešljiva tudi v zobotehničnih laboratorijih. Star način izdelave kovinskih ogrodij (vlivanje) za metal-keramične prevleke je sedaj v našem laboratoriju nadomestila tehnologija selektivnega laserskega taljenja. Selektivno lasersko taljenje (SLM) ali po domače 3D tisk, predstavlja revolucijo v razvoju zobozdravstvenih storitev.S tehnološkim procesom selektivno lasersko taljenje natančno, zanesljivo in z najmanj izgubami izdelamo konstrukcije zobno protetičnih nadomestkov (zobne krone, mostičke, nazidke, sidra ter gredi).

Edinstven tehnološki proces omogoča:
• visoko kakovost izdelkov,
• natančno izdelavo (tesno prilagajanje konstrukcij na nosilce)
• sledljivost uporabljenega materiala (v skladu z Direktivo Sveta 93/42 EGS),
• minimalne izgube materiala (okolju prijazen tehnološki postopek),
• izdelavo izdelkov iz titana (ob zlatu najbolj biokompatibilen material) in kobalt-kroma (standardni material za izdelavo kovinsko-keramičnih protetičnih izdelkov).

S to tehnologijo lahko svojim strankam-stomatologom in pacientom zagotovimo še bolj natančne in dovršene izdelke. Velika prednost 3D printanih ogrodij je tudi v tem, da so toplotno poobdelana in na ta način se izognemo naknadnim deformacijam po peki porcelana, ki predstavljajo stalnico pri klasičnih vlitih konstrukcijah. Tudi način komunikacije s strankami je zavoljo sodobnih tehnologij zelo olajšan. Orodja izdelujemo v sodelovanju z mariborskim podjetjem 3D-med, ki je prvo razvilo unikatno komoro za toplotno poobdelavo konstrukcij. Ogrodja izdelujemo tudi za zobotehnike kot polizdelek.



Izdelava prevlek in členov na zirkonijevih ogrodjih(IPS e.max ZirCAD system)

Brezkovinske konstrukcije na Zirkonijevi osnovi so zagotovo najnaprednejše v zobni protetiki. Odlikuje jih visoka estetika, izredna fizična trdnost in ne povzročajo morebitnih alergij. Za fasetirni material uporabljamo brezkovinsko keramiko E-max (Ivoclar), saj smo mnenja, da je najboljša v svoji kategoriji.

Brezkovinsko-keramični nadomestki na Zirkonijevih osnovah so nedvomno nadomestki prihodnosti v estetskem zobozdravstvu!

Kratka predstavitev izdelave

Za več informacij nas kontaktirajte na nejc.hudolin@gmail.com





Fiksna protetika

Keramika:

 - Kovinska (www.vita-zahnfabrik.com)
Vita VMK Master, Vita VM13: računalniško printano/rezkano ogrodje, možnost individualne karakterizacije, možnost brezkovinskega gingivalnega roba – 'šulter' masa;

 - Brezkovinska (www.ivoclarvivadent.com)
E-max: možnost izdelave estetskih lusk, maryland mostičkov, indicirane prevleke ter mostički(max. 1. člen!), izdelke odlikuje visoka estetika(ni kovine), možnost individualne karakterizacije;

Cirkonij: solo prevleke (predvsem zabarvani nosilci) in mostički, uporaba Wieland Zanostar oz. Katana Multilayer cirkona. Odlična estetika!

Teleskopi, konusi

Kovinska kapica je iz zlata (primarna in sekundarna kapica), vez med obema kapicama temlji na frikciji, fasetirni material (sekundarna kapica), estetika-konusi in teleskopi so nosilci proteze; ni potrebnih zapon!

Ostalo

Nazidki, polzila( Ceka,Bredent,Gredi, …), grizne šablone, Richmond kapice, rezkanje prevlek, …

Snemna protetika

Totalne proteze

Za zavarovalnico so standard Ivostar oz. Gnathostar zobje, za samoplačnike pa uporabljamo Ref-line (Polident) oziroma Vita MFT zobe.

Uporabljamo akrilat ProBaseHot - naraven izgled dlesni, možnost individualne postavitev zob možnost individualne karakterizacije;

Wissil baze

Reparature